Understanding the Types of Teeth Stains in Pembroke Pines, Aventura, and Fort Lauderdale, FL
Why Do Your Teeth Look Discolored? The Dental Care Group Explains
Teeth stains affect nearly everyone at some point in their lives. You brush regularly, visit your dentist, and still notice your smile isn’t as bright as it once was. Understanding what causes different types of discoloration is the first step toward choosing the right dental whitening treatment that actually works for your specific situation.
Not all stains respond to the same treatment approach. Surface stains from coffee differ dramatically from deep discoloration caused by medications or aging. At Dental Care Group, we analyze the type of staining affecting your teeth before recommending a personalized whitening strategy that delivers real, lasting results.
Ready to identify what’s causing your tooth discoloration? Call our dental clinic near you by contacting either our Aventura office at (305) 935-2797, our Pembroke Pines office at (954) 430-2300, or our Fort Lauderdale office at (954) 963-3706.
Why Patients Choose The Dental Care Group for a Welcoming and Comfortable Experience
At The Dental Care Group, our patients often describe their visits as feeling like a warm, family gathering rather than a typical dental appointment. One reviewer shared, “The staff is attentive, courteous, and made sure I felt comfortable throughout the entire process. My expectations were definitely met, and I am very pleased with the results.” This sentiment is echoed across numerous reviews, with repeated mentions of our “clean office,” “friendly staff,” and “welcoming environment.”
Whether you’re a first-time visitor or a long-term patient, our team prioritizes making every interaction positive and stress-free, ensuring you leave with a sense of ease and satisfaction. Comfortable dental visits and our patient-friendly atmosphere highlight why so many choose us for their ongoing dental care needs.
What Are Teeth Stains?
Teeth stains are discolorations that affect the appearance of tooth enamel, ranging from yellow and brown to gray or white spots. These stains develop when pigmented molecules accumulate on tooth surfaces or penetrate deeper into the enamel and dentin layers. Staining occurs through various mechanisms, including direct contact with chromogens (color compounds) in foods and beverages, chemical reactions within tooth structure, and natural aging processes that thin enamel and expose darker underlying layers.
Extrinsic Teeth Stains
Extrinsic stains affect only the outer surface of your tooth enamel. These are the most common types of discoloration and generally the easiest to treat.
What Causes Extrinsic Stains
These surface-level stains develop when colored compounds from outside sources adhere to your tooth enamel. Common culprits include dark beverages like coffee, tea, and red wine that you consume daily. Tobacco use—whether smoking or chewing—creates particularly stubborn brown or black stains. Foods with intense pigments, such as berries, tomato sauce, balsamic vinegar, and soy sauce, gradually darken teeth over time.
Poor oral hygiene allows plaque buildup that traps staining particles against tooth surfaces. Even your mouthwash can cause staining if it contains chlorhexidine or certain other compounds.
How Extrinsic Stains Appear
Surface stains typically present as yellow, brown, or tan discoloration concentrated in areas where staining substances make frequent contact. You might notice darker coloring along the gum line or between teeth where cleaning is more difficult. Smokers often develop distinctive brown vertical streaks on front teeth.
Treatment Options for Extrinsic Stains
Professional teeth cleaning effectively removes many surface stains during your regular hygiene appointments. For more dramatic results, in-office whitening treatments use concentrated bleaching agents that penetrate enamel to break down stain molecules. A single 90-minute session can lighten teeth several shades.
Custom take-home whitening trays offer a more gradual approach with professional-strength gel you apply yourself over 10 to 14 days. Over-the-counter whitening strips and toothpastes work for very mild surface stains but deliver less dramatic results than professional treatments.
Prevention Strategies
Rinse your mouth immediately after consuming staining beverages or foods. Use a straw for coffee, tea, and wine to minimize contact with front teeth. Brush within 30 minutes of eating pigmented foods, or at a minimum, swish with water. Quit tobacco products entirely—they cause the most stubborn and rapid staining. Maintain consistent oral hygiene with twice-daily brushing and daily flossing.
Intrinsic Teeth Stains
Intrinsic stains originate inside the tooth structure itself, embedded within the enamel or dentin layers. These prove more challenging to treat than surface stains.
What Causes Intrinsic Stains
Certain medications taken during childhood, particularly tetracycline antibiotics, can permanently discolor developing teeth gray or brown. Excessive fluoride exposure during tooth development creates white or brown spots called fluorosis. Physical trauma to teeth can damage internal structures and cause gray or brown discoloration. Some people inherit naturally darker or more yellow teeth due to genetics.
Tooth decay that penetrates enamel creates brown or black spots. Root canal treatments sometimes darken teeth from the inside. Aging naturally causes intrinsic discoloration as dentin yellows and enamel thins.
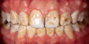
How Intrinsic Stains Appear
These stains show through from within the tooth rather than sitting on the surface. Tetracycline staining often creates horizontal gray, brown, or blue bands across teeth. Fluorosis appears as white patches, streaks, or brown spots, depending on severity. Trauma-related discoloration typically affects a single tooth, turning it noticeably darker than surrounding teeth.
Treatment Options for Intrinsic Stains
Professional whitening can improve mild to moderate intrinsic stains, though results vary based on the underlying cause. In-office treatments using high-concentration bleaching agents work best. Multiple sessions may be necessary for significant improvement. Custom take-home trays used consistently over several weeks can gradually lighten some intrinsic stains.
For severe discoloration that doesn’t respond to whitening, porcelain veneers provide a permanent solution. These thin ceramic shells bond over front teeth to completely mask dark coloring underneath. Dental bonding applies tooth-colored resin to cover isolated stained areas. Microabrasion mechanically removes superficial enamel discoloration using mild acid and polishing.
Age-Related Teeth Stains
Natural aging processes combine elements of both extrinsic and intrinsic staining, creating the yellowing most adults experience.
Why Do Teeth Yellow with Age?
Your enamel gradually thins over decades of use, revealing more of the naturally yellow dentin layer beneath. The dentin itself darkens and yellows as you age. Microscopic cracks develop in enamel over time, allowing stains to penetrate deeper into the tooth structure. Teeth become increasingly porous with age, absorbing pigments more readily from foods and beverages.
Years of exposure to staining substances create cumulative effects that intensify over time. Previous dental work, like fillings and crowns, may become more visible against a changing tooth color.
Characteristics of Age-Related Discoloration
This type typically presents as overall yellowing rather than isolated spots or bands. Front teeth often appear more affected than back teeth due to greater exposure to staining substances. The yellow tone intensifies gradually rather than appearing suddenly. Teeth may also appear slightly translucent at the edges as enamel thins.
Treatment Approaches for Age-Related Stains
Mild to moderate age-related yellowing responds well to professional whitening treatments. In-office whitening delivers immediate results in one appointment. Custom take-home trays allow you to control the intensity and maintain results long-term. Some patients achieve their desired shade with whitening toothpaste alone if discoloration is minimal.
For significant age-related darkening that doesn’t whiten adequately, porcelain veneers transform your smile dramatically. Veneers also address other age-related concerns like wear, chips, and spacing changes. Dental bonding offers a more conservative option for covering age-related stains on specific teeth.
Regular professional dental cleanings every six months help manage surface accumulation and keep age-related yellowing to a minimum.
Professional Teeth Whitening Treatments by Stain Type
Different stain types require different treatment intensities and approaches for optimal results.
In-Office Professional Whitening
This powerful treatment works best for moderate to severe extrinsic stains and some intrinsic stains. Your dentist applies concentrated bleaching gel to your teeth and may activate it with a special light. The 90-minute procedure produces immediate, dramatic results—often lightening teeth six to ten shades. In-office whitening proves most effective when you need fast results for an upcoming event or have severe surface staining from years of coffee and tobacco use.
Custom Take-Home Whitening Trays
These professional systems treat mild to moderate extrinsic and intrinsic stains effectively over time. We create custom-fitted trays from impressions of your teeth, ensuring even gel distribution and maximum contact. You fill the trays with professional-strength whitening gel and wear them for 30 minutes to two hours daily. Most patients see significant improvement within three to five days, with complete treatment taking 10 to 14 days. This method gives you control over the whitening pace and allows for easy touch-ups later.
Porcelain Veneers
Dental veneers solve severe intrinsic staining that doesn’t respond to bleaching treatments. These ultra-thin ceramic shells bond permanently to front teeth, completely masking dark discoloration underneath. Veneers work particularly well for tetracycline staining, severe fluorosis, and teeth darkened by trauma or root canals. They simultaneously address other cosmetic concerns like chips, gaps, and misshapen teeth. While more expensive than whitening, veneers provide permanent, stain-resistant results.
Microabrasion
This technique removes mild to moderate surface-level stains and fluorosis spots. Your dentist applies a mildly acidic solution that gently removes a thin layer of discolored enamel, then polishes teeth to a smooth finish. Microabrasion works well for white or brown fluorosis spots and superficial stains that don’t respond to bleaching. The procedure is conservative and preserves most of your natural tooth structure.
Dental Bonding
Cosmetic dental bonding covers mild to moderate intrinsic stains on individual teeth using tooth-colored composite resin. Your dentist sculpts the material directly onto the stained area and hardens it with a special light. This conservative option works well for isolated discoloration from trauma or localized fluorosis. Bonding costs less than veneers but doesn’t last as long and may stain over time.
Combining Treatments for Complex Cases
Some patients benefit from multiple approaches to achieve their ideal smile. We might recommend professional whitening to brighten most teeth, then use bonding or veneers to address a few resistant spots. This combination delivers comprehensive results while minimizing invasive procedures and controlling costs.
Preventing Future Teeth Stains
Regardless of which treatment you choose, maintaining your results requires consistent preventive care.
- Brush twice daily with a soft-bristle toothbrush and fluoride toothpaste
- Floss daily to remove plaque and food particles between teeth, where stains accumulate
- Rinse with water immediately after consuming staining foods and beverages
- Use a straw when drinking coffee, tea, wine, and dark sodas
- Quit all tobacco products, which cause the fastest and most stubborn staining
- Schedule professional cleanings every six months to remove surface buildup
- Touch up with whitening treatments every 12 to 24 months as needed
- Avoid highly pigmented foods like berries and tomato sauce right after whitening treatments
Frequently Asked Questions
Can teeth stains be reversed naturally without professional treatment?
Some very mild surface stains may improve with diligent brushing and avoiding staining substances, but natural methods rarely produce significant whitening. Professional treatments use higher concentrations of active ingredients that penetrate enamel more effectively than home remedies. Whitening toothpaste removes minor surface stains but won’t change your underlying tooth color. For noticeable results, professional intervention is usually necessary.
How long does it take to remove different types of stains?
Extrinsic surface stains often improve immediately with professional cleaning and show dramatic results after one in-office whitening session. Intrinsic stains require more time—custom tray systems may take two to three weeks of consistent use. Age-related staining typically falls somewhere between, with most patients seeing significant improvement within one to two weeks. Severe tetracycline staining may require months of treatment or alternative approaches like veneers.
Are there stains that whitening cannot remove?
Yes, certain intrinsic stains resist bleaching treatments. Severe tetracycline discoloration often doesn’t lighten adequately with whitening alone. Gray stains generally respond less well than yellow or brown ones. Discoloration from dental trauma or root canals rarely improves with bleaching. In these cases, veneers, crowns, or bonding provide better solutions for masking resistant stains.
How can I tell what type of stain I have?
A dental examination provides the most accurate diagnosis. Extrinsic stains typically appear yellow or brown and concentrate along the gum line or between teeth. Intrinsic stains often show horizontal banding or affect entire teeth uniformly. Age-related yellowing develops gradually across all teeth. We use specialized diagnostic tools and your dental history to identify stain types precisely.
Do certain medications cause permanent tooth staining?
Tetracycline antibiotics taken during childhood can cause permanent gray, brown, or blue staining as teeth develop. Other medications rarely cause permanent discoloration in fully developed adult teeth, though some may temporarily darken them. Always inform your dentist about medications you’re taking or took during childhood, as this affects treatment planning.
Can I prevent stains if they run in my family?
While you can’t change genetic factors that influence your natural tooth color, you can minimize staining through lifestyle choices. Avoid tobacco products completely, limit staining beverages, and maintain rigorous oral hygiene. Regular professional cleanings remove accumulating surface stains before they penetrate deeper. Consider preventive whitening touch-ups even before significant discoloration develops.
Schedule Your Stain Assessment at Dental Care Group
The specific type of staining affecting your teeth determines the most effective whitening treatment. Don’t waste time and money on products that aren’t designed for your particular discoloration. Our team analyzes your unique situation and creates a personalized treatment plan that delivers the results you want.
Whether you’re dealing with coffee stains, medication discoloration, or natural yellowing from aging, we have proven solutions at our three convenient South Florida locations. From professional in-office whitening near Miami to custom take-home systems and alternative cosmetic treatments, we’ll find the approach that works best for your smile and your life.
Call our Aventura office at (305) 935-2797, our Pembroke Pines office at (954) 430-2300, or our Fort Lauderdale office at (954) 963-3706 to schedule your comprehensive stain assessment. We proudly serve patients from Aventura, Pembroke Pines, Fort Lauderdale, and throughout the surrounding communities. Let us help you achieve the bright, confident smile you deserve.

